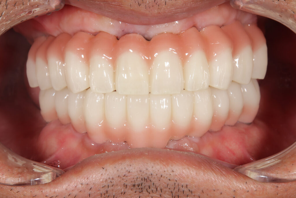
【上下オールオン4 インプラント】 50代 男性
【ご相談内容】
「しっかり噛めない。見た目も気になって人前で笑えない」とお悩みで来院されました。
【治療内容】
上下にオールオン4インプラント治療を行いました。少ない本数のインプラントで固定式の歯を作る方法で費用を抑えることができます。しっかり噛める、全体で噛み合わせを治せるため美しい仕上がりとなります。
【治療後の変化】
・硬いものもしっかり噛めるようになった。
・見た目が若返った。
【院長コメント】
インプラント治療を経て、しっかりと噛める喜びと、自然な笑顔を取り戻されました。
見た目も若返り、表情もとても明るくなられました。
オールオン4、インプラント治療は入れ歯でお困りの方や歯を失ってしまった方に安心して噛める生活と若々しい口元を取り戻していただける治療です。
噛めない、見た目に自信が持てない、写真を撮るときや人に歯を見せて笑えないなどでお悩みの方は一度ご相談くださいね。

- 治療前

- 治療後

- 治療前

- 治療後
| 治療内容 | 上下オールオン4 |
|---|---|
| 治療期間 / 治療回数 | 6ヶ月 / 12回 |
| 費用・費用内訳 (※自費診療) |
¥4,840,000(税込)
・上 オールオン4 ¥2,420,000 |
| リスク・副作用 | 定期的なメンテナンスが必要です。口腔衛生状態が悪くなるとインプラント周囲炎にかかる可能性があります。 ※出血、膨張、疼痛青痣、神経麻痺、補綴物・インプラント体の脱落、破折、インプラント周囲炎等 |