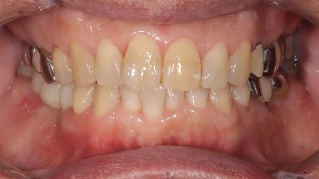
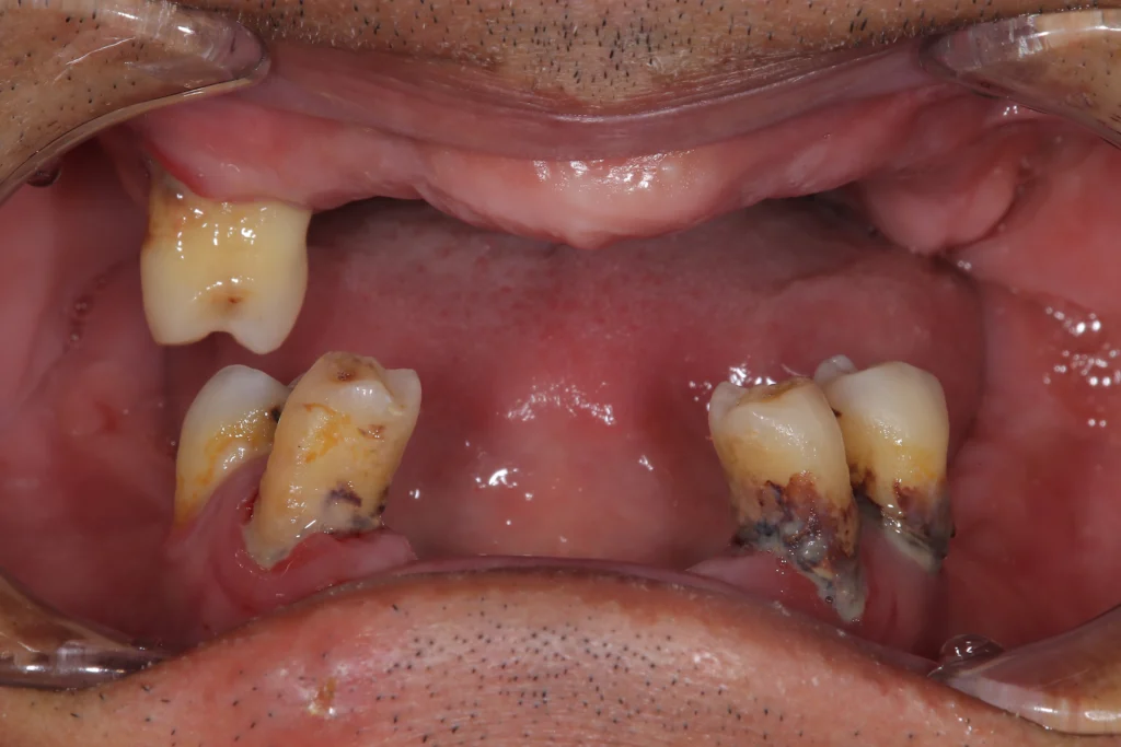
【右下インプラント3歯】 60代 男性
右下2本歯を抜いてから噛みにくくなり、抜けた後ろの銀歯もお痛みありインプラントご希望されました。銀歯を抜くと同時にインプラント2本埋め込み、歯を3本入れております。
噛みやすくなり、見た目も綺麗になりました。

- 治療前

- 治療後

- 治療前

- 治療後
| 治療内容 | 右下インプラント 3本 |
|---|---|
| 治療期間 / 治療回数 | 3ヶ月 / 7回 |
| 費用・費用内訳 (※自費診療) |
¥1,045,000(税込) |
| リスク・副作用 | 定期的なメンテナンスが必要です。口腔衛生状態が悪くなるとインプラント周囲炎にかかる可能性があります。 ※出血、膨張、疼痛青痣、神経麻痺、補綴物・インプラント体の脱落、破折、インプラント周囲炎等 |