大阪天王寺でインプラントなら

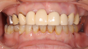
【右下インプラント3歯】 60代 男性

症例一覧

case

治療前 治療後

【右下インプラント3歯】 60代 男性

右下2本歯を抜いてから噛みにくくなり、抜けた後ろの銀歯もお痛みありインプラントご希望されました。銀歯を抜くと同時にインプラント2本埋め込み、歯を3本入れております。 噛みやすくなり、見た目も綺麗になりました。

インプラント

治療前 治療後

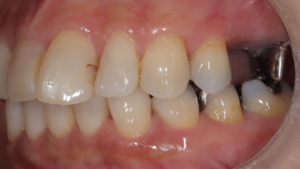
【上オールオン5、右下奥インプラント、左下奥インプラント】50代 男性

ほぼ全て歯を失っており噛めない、見ため治したい全体の治療ご希望されご来院されました。 上の残っている歯は膿が出ており残せない状態でした。下の前歯だけは残せる状態でした。 治療は上をインプラント5本で歯を全て入れるオールオン5という治療を行い

インプラント

治療前 治療後

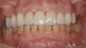
【インプラント治療➕ホワイトニング】60代 女性

他院にてインプラントできないと言われご来院。笑うと見えるところで、歯抜けを気にされておりました。 インプラント治療中自分の歯も綺麗にしたいとのご希望あり、ホワイトニングも行いました。 お口元明るくなり、より清潔感がでて、さらに綺麗になりまし

インプラント

治療前 治療後

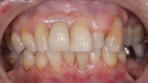
【左下奥インプラント➕前歯セラミック】60代 女性

前歯の被せ物の金属が見えて、見た目が悪く左奥噛みにくいため治療をご希望されました。 右上〜前歯のセラミック、左下奥のインプラント治療を行いました。 見た目綺麗になり、清潔感も出て、よく笑えるようになりましたとお話しくださいました。

インプラント

治療前 治療後

【前歯 インプラント】60代 女性

入れ歯の取り外しがわずらわしい、見た目が悪く治したいとのご希望でした。 治療前では歯がない部分は骨が減っており、歯茎も減ってる状態でしたので、骨と歯茎を再生しました。 治療後は隣の歯と歯茎の高さがそろい綺麗な見た目になり、ご満足頂きました。

インプラント

TOPへ戻る