【前歯 インプラント】60代 女性
入れ歯の取り外しがわずらわしい、見た目が悪く治したいとのご希望でした。
治療前では歯がない部分は骨が減っており、歯茎も減ってる状態でしたので、骨と歯茎を再生しました。
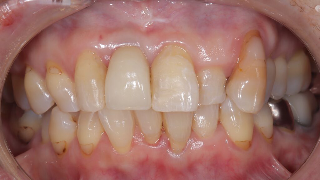
治療後は隣の歯と歯茎の高さがそろい綺麗な見た目になり、ご満足頂きました。

- 治療前

- 治療後
| 治療内容 | インプラント治療 1歯 |
|---|---|
| 治療期間 / 治療回数 | 4ヶ月 / 6回 |
| 費用・費用内訳 (※自費診療) |
¥517,000(税込)
・内訳1 インプラント 462,000 |
| リスク・副作用 | 定期的なメンテナンスが必要です。口腔衛生状態が悪くなるとインプラント周囲炎にかかる可能性があります。 ※出血、膨張、疼痛青痣、神経麻痺、補綴物・インプラント体の脱落、破折、インプラント周囲炎等 |