【オールオン4】60代 男性
かみにくい、上の歯が抜けそう、入れ歯が合わない、見た目を良くしたいとご希望でご来院されました。
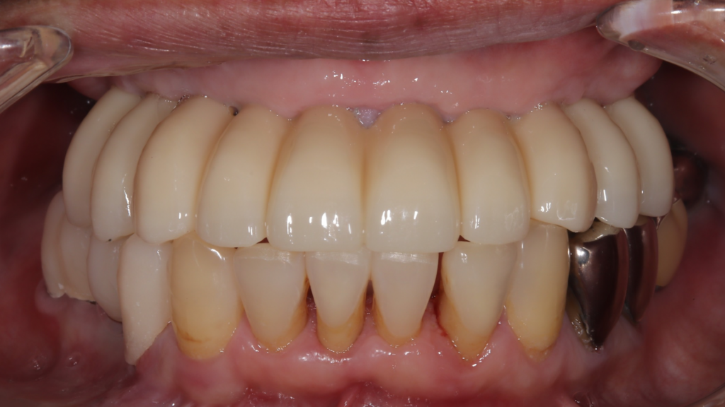
上顎の残っていた歯は全てグラグラの状態で、全て抜いてインプラントで歯を入れております。
治療前は上の前歯が下の前歯より奥にあったのですが、治療後は上の前歯が下の前歯より前にきており、噛み合わせだけでなく見た目も綺麗になっております。
硬いものでも噛めるので食事が美味しくなったとお話し頂きました。

- 治療前

- 治療後
| 治療内容 | オールオン4 |
|---|---|
| 治療期間 / 治療回数 | 5ヶ月 / 12回 |
| 費用・費用内訳 (※自費診療) |
¥2,420,000(税込) |
| リスク・副作用 | 定期的なメンテナンスが必要です。口腔衛生状態が悪くなるとインプラント周囲炎にかかる可能性があります。 ※出血、膨張、疼痛青痣、神経麻痺、補綴物・インプラント体の脱落、破折、インプラント周囲炎等 |