-
-
症例一覧
case
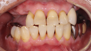
【オールオン4】60代 男性
かみにくい、上の歯が抜けそう、入れ歯が合わない、見た目を良くしたいとご希望でご来院されました。 上顎の残っていた歯は全てグラグラの状態で、全て抜いてインプラントで歯を入れております。 治療前は上の前歯が下の前歯より奥にあったのですが、治療後
case
かみにくい、上の歯が抜けそう、入れ歯が合わない、見た目を良くしたいとご希望でご来院されました。 上顎の残っていた歯は全てグラグラの状態で、全て抜いてインプラントで歯を入れております。 治療前は上の前歯が下の前歯より奥にあったのですが、治療後