大阪天王寺でインプラントなら

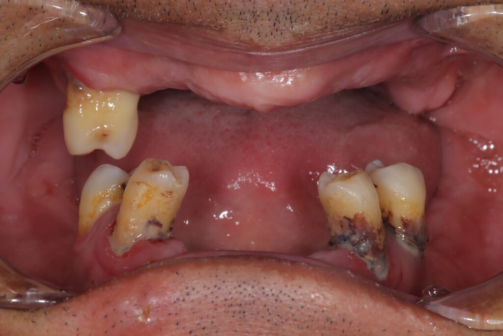
【上下オールオン4 インプラント】 50代 男性

症例一覧

case

治療前 治療後

【上下オールオン4 インプラント】 50代 男性

【ご相談内容】 「しっかり噛めない。見た目も気になって人前で笑えない」とお悩みで来院されました。 【治療内容】 上下にオールオン4インプラント治療を行いました。少ない本数のインプラントで固定式の歯を作る方法で費用を抑えることができます。しっ

治療前 治療後

【右下インプラント3歯】 60代 男性

右下2本歯を抜いてから噛みにくくなり、抜けた後ろの銀歯もお痛みありインプラントご希望されました。銀歯を抜くと同時にインプラント2本埋め込み、歯を3本入れております。 噛みやすくなり、見た目も綺麗になりました。

インプラント

治療前 治療後

【上オールオン5、右下奥インプラント、左下奥インプラント】50代 男性

ほぼ全て歯を失っており噛めない、見ため治したい全体の治療ご希望されご来院されました。 上の残っている歯は膿が出ており残せない状態でした。下の前歯だけは残せる状態でした。 治療は上をインプラント5本で歯を全て入れるオールオン5という治療を行い

インプラント

治療前 治療後

【インプラント治療➕ホワイトニング】60代 女性

他院にてインプラントできないと言われご来院。笑うと見えるところで、歯抜けを気にされておりました。 インプラント治療中自分の歯も綺麗にしたいとのご希望あり、ホワイトニングも行いました。 お口元明るくなり、より清潔感がでて、さらに綺麗になりまし

インプラント

治療前 治療後

【左下奥インプラント➕前歯セラミック】60代 女性

前歯の被せ物の金属が見えて、見た目が悪く左奥噛みにくいため治療をご希望されました。 右上〜前歯のセラミック、左下奥のインプラント治療を行いました。 見た目綺麗になり、清潔感も出て、よく笑えるようになりましたとお話しくださいました。

インプラント

治療前 治療後

【前歯 インプラント】60代 女性

入れ歯の取り外しがわずらわしい、見た目が悪く治したいとのご希望でした。 治療前では歯がない部分は骨が減っており、歯茎も減ってる状態でしたので、骨と歯茎を再生しました。 治療後は隣の歯と歯茎の高さがそろい綺麗な見た目になり、ご満足頂きました。

インプラント

治療前 治療後

【オールオン4】60代 男性

かみにくい、上の歯が抜けそう、入れ歯が合わない、見た目を良くしたいとご希望でご来院されました。 上顎の残っていた歯は全てグラグラの状態で、全て抜いてインプラントで歯を入れております。 治療前は上の前歯が下の前歯より奥にあったのですが、治療後

オールオンフォー

TOPへ戻る