【左下奥インプラント➕前歯セラミック】60代 女性
前歯の被せ物の金属が見えて、見た目が悪く左奥噛みにくいため治療をご希望されました。
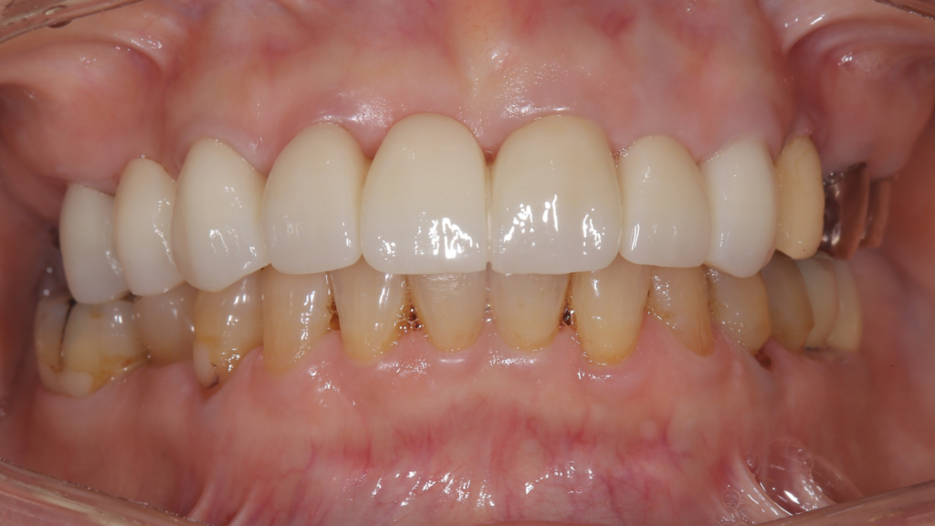
右上〜前歯のセラミック、左下奥のインプラント治療を行いました。
見た目綺麗になり、清潔感も出て、よく笑えるようになりましたとお話しくださいました。

- 治療前

- 治療後
| 治療内容 | セラミック(右上〜前歯)、インプラント(左下奥) |
|---|---|
| 治療期間 / 治療回数 | 4ヶ月 / 10回 |
| 費用・費用内訳 (※自費診療) |
¥1,804,000(税込)
・セラミック治療 880,000 (8本✖️150,000) |
| リスク・副作用 | 定期的なメンテナンスが必要です。口腔衛生状態が悪くなるとインプラント周囲炎にかかる可能性があります。 ※出血、膨張、疼痛青痣、神経麻痺、補綴物・インプラント体の脱落、破折、インプラント周囲炎等 |