【インプラント治療➕ホワイトニング】60代 女性
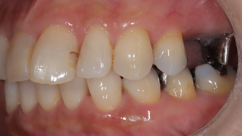
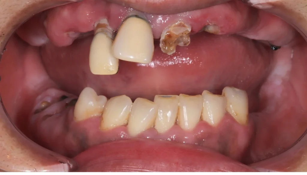
他院にてインプラントできないと言われご来院。笑うと見えるところで、歯抜けを気にされておりました。
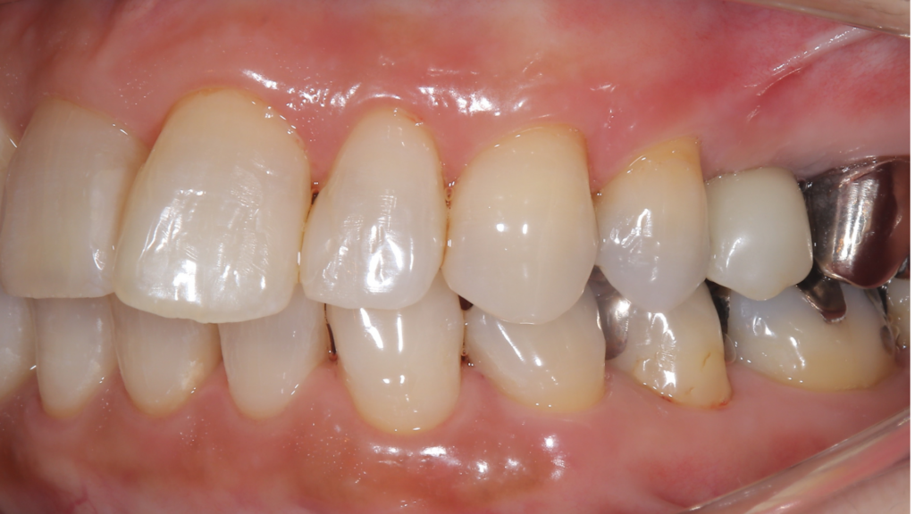
インプラント治療中自分の歯も綺麗にしたいとのご希望あり、ホワイトニングも行いました。
お口元明るくなり、より清潔感がでて、さらに綺麗になりました。

- 治療前

- 治療後
| 治療内容 | 左上インプラント治療➕ホワイトニング |
|---|---|
| 治療期間 / 治療回数 | 3ヶ月 / 8回 |
| 費用・費用内訳 (※自費診療) |
¥517,000(税込)
・インプラント 1本 462,000 |
| リスク・副作用 | 定期的なメンテナンスが必要です。口腔衛生状態が悪くなるとインプラント周囲炎にかかる可能性があります。 ※出血、膨張、疼痛青痣、神経麻痺、補綴物・インプラント体の脱落、破折、インプラント周囲炎等 |