- 個人症例総数
- 2,178症例※
3,215本
※2025年12月時点での院長田中個人の症例数
※インプラントは公的医療保険が適用されない自費診療です
- インプラント手術は必ず院長が執刀
-
- □ 診断力・技術力
- □ あらゆるケースに対応
- □ 痛みへの配慮
- □ 安全への配慮
- □ 高品質な材料
- □ 10年保証
すべて当院が解決します
どんなお悩みでも
どんな症例でも対応可
そのすべてのお悩みを当院が解決します。
総入れ歯の方から1本だけ歯が無いという方に加えて、どんな症例でも対応可能です。
しっかり噛めるようになると、好きなものが食べれる。口元が変わり、笑えるようになると自信が持てる。明るくなる。見違えるほど若返る。
「インプラント治療で人生を変える」
過言ではなく、本気で患者様の人生と向き合っています。
治療ガイド
オールオン4
-
-
総入れ歯の不便を解消
4本のインプラントで
全ての歯を支える- 4本のインプラントで全ての歯を支える
- 固定式で安定している
- 痛みや腫れを最小限に抑える先進技術
- 自然で美しい仕上がりで、表情まで若々しく
インプラント
-
-
1本からでも
自然で長持ちする
「本物の噛み心地を」- 失った歯を、まるで自分の歯のように再現
- 隣の健康な歯を削らない、体に優しい治療
- 見た目・噛み心地・発音も自然に
- 定期メンテナンスで長く安心して使える
T DENTAL OFFICE が
選ばれる理由
-
-
- 診断力・技術力
- あらゆるケースに対応
- 安全への配慮
- 痛みへの配慮
- 高品質な材料
- 精密機器の使用
- 10年保証
- 完全個室
- カウンセリング
- アクセス
- 個人症例総数
- 2,178症例※
3,215本
診断力・技術力
高度な技術があっても、診断を誤れば治療は成功しません。 当院のインプラント治療は、全て院長が自ら診断・執刀。豊富な臨床経験をもとに、骨の状態や全身の健康状態まで精密に分析し、最適な治療計画を立案します。 多様な症例に対応してきた経験が、確かな結果を支えています。
あらゆるケースに対応
当院では、骨量不足や全身疾患の影響など、他院で「不可能」と判断された症例にも数多く対応してきました。 精密なCT診断と豊富な経験に基づき、骨再生療法や高度な外科技術を駆使して治療を実現しています。 他院で断られた方でも諦めずに当院にご相談ください。
安全への配慮
オペ室を完備し、院内感染対策を徹底、すべての器具を厳格に滅菌しています。 麻酔科医と連携し、万が一のトラブルにも迅速に対応。安全で痛みの少ない治療を実現しています。 さらに血液検査で患者様の健康状態や体調を事前に確認し、最適かつ安全な治療計画を立案しています。
痛みへの配慮
治療中の痛みや不安を最小限にするため、極細針を使用し、静脈内鎮静法で眠っている間に治療を行います。 患者様は治療中に覚醒することがなく、痛みや恐怖を感じることはありません。 麻酔科医と連携することで安全性も確保され、安心して治療を受けていただけます。
高品質なインプラント・被せ物
当院では、世界的に信頼されるストローマン社のインプラントを採用し、安全性および長期的な安定性を確保しています。 さらに、被せ物には審美性と耐久性に優れたジルコニアを使用しています。 これにより機能面と審美面の両立した高品質な仕上がりを実現しています。
精密機器の使用
当院では、CT撮影や光学印象などの精密機器を駆使し、綿密な治療計画を立てています。 骨の状態や神経の位置を正確に把握し、最適な埋入位置や角度を計算してガイドステントを作製。 リスクを最小化し、患者様一人ひとりに最適で安全な治療を提供しています。
10年保証
当院では、インプラント体に関して10年間の保証を、被せ物(上部構造)に関しては5年間の保証を付けています。 ※さらなる保証オプションあり 定期的なメインテナンスにお越しいただくことなど細かい条件はございますが、患者様に安心して長くインプラントを使っていただける体制を整えています。
完全個室でプライバシー保護
当院では、すべての診療を完全個室で行い、プライバシーを徹底的に守っています。 著名人をはじめ多くの患者様にも安心して治療を受けていただける環境を提供しており、周囲を気にせず、落ち着いた空間で専門医による高品質なインプラント治療を受けることができます。
わかりやすいカウンセリング
当院では、患者様一人ひとりの不安や疑問に寄り添い、丁寧でわかりやすいカウンセリングを心がけています。 治療の内容や、費用、期間などを具体的に説明し、ご納得いただいた上で治療を開始(インフォームドコンセントの徹底)。 安心して治療に臨める環境を整えています。
大阪の中心地 天王寺駅より5分
当院は大阪の中心、天王寺駅から徒歩5分の場所にあります。 大阪市内からはもちろん、奈良方面や和歌山方面からもアクセスが便利なため、忙しい方でも通いやすく、通院や定期メンテナンスでの移動負担が少ないと考えます。 外科手術を伴う治療がゆえに、アクセスも重要だと考えます。
症例写真集
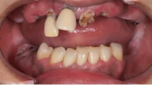
【上下オールオン4 インプラント】 50代 男性
【ご相談内容】 「しっかり噛めない。見た目も気になって人前で笑えない」とお悩みで来院されました。 【治療内容】 上下にオールオン4インプラント治療を行いました。少ない本数のインプラントで固定式の歯を作る方法で費用を抑えることができます。しっ
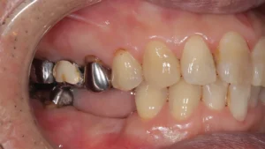
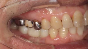
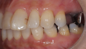
【右下インプラント3歯】 60代 男性
右下2本歯を抜いてから噛みにくくなり、抜けた後ろの銀歯もお痛みありインプラントご希望されました。銀歯を抜くと同時にインプラント2本埋め込み、歯を3本入れております。 噛みやすくなり、見た目も綺麗になりました。
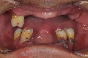
【上オールオン5、右下奥インプラント、左下奥インプラント】50代 男性
ほぼ全て歯を失っており噛めない、見ため治したい全体の治療ご希望されご来院されました。 上の残っている歯は膿が出ており残せない状態でした。下の前歯だけは残せる状態でした。 治療は上をインプラント5本で歯を全て入れるオールオン5という治療を行い
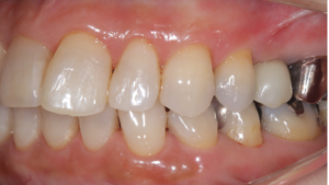
【インプラント治療➕ホワイトニング】60代 女性
他院にてインプラントできないと言われご来院。笑うと見えるところで、歯抜けを気にされておりました。 インプラント治療中自分の歯も綺麗にしたいとのご希望あり、ホワイトニングも行いました。 お口元明るくなり、より清潔感がでて、さらに綺麗になりまし
患者様の声
費用・支払い方法
-
- インプラント
- 1本あたり46.2万円(税込)
-
- オールオン4
- 片顎242万円(税込)
安心してインプラント治療を受けていただくために 当院の「10年保証」制度
インプラント治療は、失われた歯の機能を回復させる有効な治療法ですが、費用も高額になります。 そのため、治療後の長期的な安心は非常に重要です。 当院では、患者様に生涯にわたる笑顔を提供できるよう、独自の「インプラント10年保証」制度を設けております。
お支払い方法について
当院では、患者様のご都合に合わせて以下のお支払い方法をご利用いただけます。
-
カード

- お振込み
- 現金
- 医療ローン
よくあるご質問
大阪にはインプラントクリニックが多いですが、何を基準に選べばいいですか?
インプラント治療で見るべきなのは症例数そのものではなく、診断から治療後のメンテナンスまで一貫して責任を持つ体制があるかどうかです。
当院では長期的な安定性を最優先に、十分な検査と明確な説明を行い、一人ひとりに合わせたオーダーメイドの治療計画をご提案しています。
大阪・天王寺まで通ってインプラント治療を受けるメリットはありますか?
インプラント治療は通院回数ではなく、一回一回の診断と処置の精度が結果を左右します。そのため当院では「近いから」という理由ではなく、説明に納得できるか、安心して任せられるかを重視される方に選ばれてきました。
天王寺は大阪市内・近郊からのアクセスに優れた立地ですが、距離に関係なく「ここで治療を受けたい」と、遠方からも多くの患者様にご来院いただいています。
インプラント治療は、すべての人が受けられる治療ですか?
はい、インプラント治療はお口や全身の状態(骨の量や質、噛み合わせ)や生活習慣などを総合的に診断したうえで判断する必要があります。
当院では難症例にも対応できるため、基本的にはどなたでもどんな症例でも治療が可能です。
インプラント治療後、すぐに仮歯で噛むことはできますか?
いいえ、当院ではインプラントを安定させることを最優先に考えているため、即時荷重(手術当日に噛む治療)は行っていません。
インプラントが骨としっかり結合するまでの期間を大切にしており、下顎では約3ヶ月、上顎では約6ヶ月の免荷期間が必要と考えています。
この期間を設けることで、インプラントの長期的な安定につながると考えています。
インプラントの手術は入院が必要ですか?
いいえ、インプラントの埋入手術は日帰りで、局所麻酔でおこないます。
手術後はご自宅で安静に過ごしていただき、処方されたお薬の服用や注意事項を守っていただくことで、日常生活に戻ることができます。ご不安な点がある場合は、事前にしっかりご説明いたしますのでご安心して質問してください。
医院情報
- 医院名
- T DENTAL OFFICE
- 住所
- 大阪府大阪市阿倍野区阿倍野筋1-3-15
阿倍野共同ビル7F - 診療日
- 木・土※・日
- 電話/FAX
- 06-6655-0700 / 06-6655-0701
※木曜以外でもお電話は繋がります。 もし繋がらなくても必ず折り返しのご連絡をさせていただきます。
| 診療時間 | 月 | 火 | 水 | 木 | 金 | 土 | 日 |
|---|---|---|---|---|---|---|---|
| 09:00-17:00 | ─ | ─ | ─ | ● | ─ | ▲ | ● |
※土曜日は13時~16時の診療となります
インプラントについて
- インプラントの確定申告における医療費控除対象条件と還付金計算方法を解説
- 清水駅周辺でインプラント(オールオンフォー)最新治療と流れやサポート体制・歯科医院選びまで徹底解説
- 治療の歯インプラントとは何か?構造や他治療との違い解説|費用相場・手術流れなども紹介
- 千林大宮駅周辺でインプラント(オールオンフォー)による全顎回復を目指す治療手順を徹底解説
- インプラントの流れを徹底解説|治療工程と期間・費用・痛みなどを詳しく紹介
- インプラントの日本製メーカー比較と国産技術の違いを徹底解説【特徴・選び方ガイド】
- インプラント歯科の医院選び基準と費用相場・信頼できる歯医者の見極め方
- 抜歯後半年でインプラント治療は可能か?骨再生と適応条件から成功事例まで解説
- インプラントとは?歯科用人工歯根の仕組みと治療の流れ・費用
- インプラントが金属探知機に反応する空港での注意点と飛行機搭乗時の安全対策・最新治療素材を解説
- 関目高殿駅エリアのインプラント(オールオンフォー)完全ガイド|適応症・費用・リスク・成功率まで徹底解説【50代以上も安心】
- インプラント治療とは歯科のメリットや流れを徹底解説
- 新森古市駅エリアでインプラント(オールオンフォー)を検討中の方へ!費用・治療の流れ・失敗しない選び方
- デンタルインプラントの治療の流れ|メリット・デメリット
- インプラントと電動歯ブラシの最適な選び方と歯科医推奨ケア方法を徹底解説
- 歯科インプラントとは何か基礎からわかるガイド・治療の工程と費用相場まで解説!
- 前歯インプラントの歯がない期間を徹底解説|標準2〜6ヶ月の治療流れと仮歯対応ポイント
- インプラント治療の流れと期間を解説|仕組みからケース別の目安までわかるガイド!
- インプラントが高齢になったときのリスクと後悔しない選び方・失敗事例と費用相場徹底解説
- インプラント治療の基礎知識から手術方法・費用相場を徹底解説
- 城北公園通駅周辺でインプラント治療を始めるために必要な費用や流れを基礎から解説
- インプラントのリスクの全体像徹底解説!実例から学ぶ後悔防止策や失敗しないための医院選びも
- 森小路駅近辺でインプラント(オールオンフォー)を始めるメリットをわかりやすく解説!
- インプラントの意味をわかりやすく解説!治療法・メリット・費用相場まとめ
- レントゲンでわかるインプラントの治療前後の検査ポイントとCT精密診断の重要性
- インプラント治療の流れを徹底解説|治療期間と手術ステップがわかる
- インプラントの素材の種類と特徴を徹底解説!歯科治療で選ぶべきポイントと費用比較
- インプラントの平均寿命と長持ちさせるセルフケア方法を徹底解説
- インプラントの仕組みと構造を解説|治療手順・種類・費用の全知識
- インプラントの仕組みを徹底解説|構造・治療の流れと費用や期間の違いまで分かる
- 東天下茶屋駅エリアでインプラントを選ぶ!最新治療法と費用相場・医院選びのポイント
- インプラントの上部構造について基礎から解説・種類ごとの選び方もわかるガイド!